11 причин ощущения кома в горле и методы лечения. Причины
- 11 причин ощущения кома в горле и методы лечения. Причины
- Стоит ком в горле и не отхаркивается. Слизь в горле
- Давит в горле ниже кадыка, что делать. Боль в горле при шейном остеохондрозе: как диагностировать, чем лечить
- Таблетки от кома в горле. Ком в горле. Что делать?
- Как убрать ком в горле в домашних условиях. Причины комка в горле
- Ком в горле, но глотать не больно. Воспалительные болезни ЛОР-органов
- Давящая боль в грудной клетке и ком в горле. Ощущения кома в горле: диагностика
11 причин ощущения кома в горле и методы лечения. Причины
Если пациент обращается к врачу с жалобой на комок в горле, то зачастую он имеют следующие симптомы:
- чувство сдавленности в горле;
- трудности при глотании слюны;
- чувство присутствия инородного тела в глотке;
- трудности при проглатывании твердой и крупной пищи;
- чрезмерное скопление слизи;
- чувство шевеления в глотке.
Причины появления этих симптомов:
- усталость, стрессовые состояния;
- вирусные или бактериальные инфекции, поражающие гортань;
- проблемы с щитовидкой;
- патологии шейного отдела позвонка;
- нарушения в работе желудка;
- грыжа;
- избыточный вес;
- последствия приема лекарств;
- опухоли.
Так достаточно часто именно перенесенный стресс становится причиной ощущения сдавленности в глотке. При этом симптом присутствия кома может возникать периодически, или же иметь постоянный характер.
Стрессовые ситуации провоцируют резкое сокращение мышц в горле или их перенапряжение, что и становится причиной возникновения неприятных и даже опасных ощущений.
Депрессии, нервозность, переживания, все это может спровоцировать внезапное мышечное сокращение и возникновение чувства сдавленности в горле.
Вирусные и бактериальные инфекции ЛОР-органов, эндокринные патологии, болезни позвоночника, также могут спровоцировать ком в горле симптомы которого существенно различаются в зависимости от вида болезни.
Если вовремя не был поставлен правильный диагноз и не начато адекватное лечение, особенно в тех случаях, когда заболевание вызвано инфекциями носоглотки, могут развиться осложнения. Ком в горле становится следствием различных болезней, например, фарингита или гнойной ангины, неправильное лечение которых часто приводит к возникновению более серьезных патологий. Например, наиболее опасным осложнением считается накопление гноя в области надгортанника. Это заболевание быстро развивается и характеризуется наличием воспалительного процесса в той области глотки, где отек запросто может привести к удушью.
Чувство кома в горле также может развиться как следствие опухоли, локализованной в гортани.
В процессе своего роста опухоль может перемещаться, занимая место в верхней части гортани, что и становится причиной возникновения неприятного симптома. Если на ранних этапах болезни не было начато правильное лечение, то на более поздних этапах чувство сдавленности в горле сменяется ощущением недостатка кислорода.
Стоит ком в горле и не отхаркивается. Слизь в горле
Скопление слизи в глотке — состояние неприятное, но излечимое. Главное — точно определить причину этого симптома, и устранить её. То есть состояние, при котором в глотке собирается слизь — это не самостоятельный диагноз, а одно из проявлений основного заболевания. Мокрота в горле может скапливаться не только из-за воспалительных процессов в носоглотке. Есть и другие причины, не связанные с лор-органами. Какие? Читайте в нашей новой статье.
Скопление слизи в горле — состояние весьма неприятное, особенно в тех случаях, когда она накапливается постоянно, и человека не покидает чувство, что в горле что-то мешает.
В медицине даже существует специальный термин, который употребляется при постоянно стекающей слизи в глотку из носовой полости — постназальный синдром. По сути, это тот же насморк, но наоборот.
Когда слизистые выделения из носа выходят не наружу, а внутрь, они раздражают стенки глотки и вызывают у человека непреодолимое желание часто откашливаться и сглатывать мокроту. Такое состояние, безусловно, нельзя назвать приятным. Чтобы от него избавиться, необходимо для начала определить, почему скапливается слизь в горле, в какой из систем организма произошёл сбой и провести грамотное лечение заболевания. Сделать это самостоятельно, увы, не удастся. Нужна помощь квалифицированного оториноларинголога.
Так почему скапливается слизь в горле? Причины и лечение этого состояния — тема нашей новой статьи.
Зачем образуется слизь
Выработка носоглоткой слизистых масс — явление естественное. Они выполняют увлажняющую и защитную функцию. Слизистые массы задерживают попадающие с воздухом инородные частицы, пыльцу, бактерии и не дают им спуститься ниже в трахею и лёгкие. Как только эти чужеродные агенты попадают на слизистые оболочки, количество вырабатываемого секрета увеличивается, у человека возникает желание прочистить нос или откашляться. Когда раздражитель выведен из организма, выработка секрета возвращается к прежнему уровню.
В норме процесс образования слизистых масс человек не замечает — они сглатываются вместе со слюной.
Скопление слизи в горле становится заметным, когда она вырабатывается постоянно и загустевает. Больной непосредственно ощущает, как слизистые массы текут по задней стенке глотки и скапливаются в ней. В дневное время скопление мокроты не так беспокоит — она проглатывается и не сильно раздражает кашлевые рецепторы. Но стоит принять горизонтальное положение, например, ночью во время сна, слизистые массы не могут свободно пройти внутрь и застаиваются в глотке. Это вызывает сильнейшие приступы кашля, которые даже могут спровоцировать рвоту.
Когда человек приходит к оториноларингологу и говорит: «Я постоянно сглатываю слизь в горле», первым делом лор-врач выяснит, почему в горле скапливается слизь.
Только после установления истинной причины слизи в горле, можно будет назначить корректное лечение.

Причины постназального синдрома
Причины постоянно скапливающейся слизи в глотке могут быть инфекционной и неинфекционной природы. К ним относят:
- Воспалительные заболевания носоглотки и гортани (синуситы, фарингит, ларингит). Усиленная выработка слизистого секрета в этот период связана с попыткой организма прочистить дыхательные пути от бактерий и вирусов, тем самым ускорив выздоровление. То, что слизь в этом случае выделяется обильно, наоборот, является вариантом нормы. Такие слизистые массы не мешают, а помогают избавиться от болезнетворных микроорганизмов.
- Хронические заболевания верхних дыхательных путей. Эти заболевания вызывают воспалительные процессы в носоглотке, в результате чего здесь формируется постоянный источник инфекции.
- Заболевания нижних дыхательных путей (бронхит, воспаление лёгких, туберкулёз).
- Аллергические реакции на внешний раздражитель. Аллергия может сопровождаться обильным скоплением мокроты, которая мешает и её хочется постоянно сглатывать.
- Нарушения в работе желудочно-кишечного тракта, при которых содержимое желудка забрасывается обратно в пищевод и далее в глотку (гастроэзофагеальная рефлюксная болезнь, гастрит, язва).
- Особенности строения носовой полости (искривлённая носовая перегородка, увеличенные носовые раковины).
- Аденоиды.
- Неправильное питание — употребление слишком жирной или острой пищи раздражает органы ЖКТ и может спровоцировать усиленную выработку секрета.
- Вредные привычки. Табакокурение и злоупотребление алкогольными напитками приводит к ожогам слизистой оболочки глотки. Организм пытается избавиться от пагубного воздействия вредных веществ, усиленно вырабатывая слизистые массы.
- Попадание в носовую полость посторонних предметов — частая причина скопления слизистых масс в глотке у детей, поскольку малыши в процессе игры могут засунуть в носовые ходы бусинки, мелкие детали игрушек и т.п.
- Плохая экологическая обстановка в месте проживания — загрязнённый воздух и пыль. Таким способом организм пытается избавиться от вредных частиц, попавших с воздухом.
Давит в горле ниже кадыка, что делать. Боль в горле при шейном остеохондрозе: как диагностировать, чем лечить
Боль в горле при остеохондрозе шейного отдела позвоночника.
Казалось бы, нет никакой взаимосвязи между остеохондрозом шеи и болью в горле. Этот симптом характерен для большинства вирусных, бактериальных, грибковых респираторных инфекций — бронхитов, бронхиолитов, острых тонзиллитов. Но боль не исчезает после полоскания антисептическими растворами, рассасывания противовоспалительных пастилок, драже и леденцов. После проведения ряда инструментальных и лабораторных исследований устанавливают причину дискомфорта в горле и гортани. Это остеохондроз, обычно локализованный в шейном отделе позвоночника. Поэтому для устранения болезненных ощущений требуется лечение основной патологии опорно-двигательного аппарата. После ее переведения в стадию устойчивой ремиссии исчезнут першение,, проблемы с проглатыванием пищи.

Диагноз на рентгене.
Причины дискомфортных ощущений
Пациенты часто сомневаются в выставленном диагнозе, интересуются у вертебрологов и неврологов, действительно ли может при остеохондрозе болеть горло. Эта патология отличается разнообразными и многочисленными клиническими проявлениями. В их числе есть и достаточно специфичные — зубные боли, артериальная гипертензия, частые и даже снижение полового влечения у мужчин. Причинами расстройств становятся деструктивно-дегенеративные изменения в позвонках, межпозвонковых дисках и расположенных поблизости соединительнотканных структурах.

Боль в горле при шейном остеохондрозе имеет нейровегетативное происхождение, связанное с близкой локализацией верхних дыхательных путей к шейным позвонкам. Остеохондроз — дегенеративно-дистрофическая патология, причина развития которой окончательно не установлена. В результате нарушения диффузного обмена начинают разрушаться хрящевые ткани дисков, дестабилизируя позвонки. Пытаясь сохранить функциональную активность позвоночника, организм запускает процесс формирования костных наростов () для удерживания позвонков в анатомически правильном положении. Острые края разросшихся костных пластинок сдавливают мышцы, кровеносные сосуды. Из-за разрушения дисков быстро сокращается расстояние между позвонками. При соприкосновении они защемляют чувствительные спинномозговые корешки, расположенные между этими костными структурами. Полноценная передача нервных импульсов становится невозможной. Если нервные окончания имеют общую иннервацию с респираторными структурами, то появляются боли в горле при остеохондрозе шейного отдела позвоночника.
Таблетки от кома в горле. Ком в горле. Что делать?
Думаю, нет необходимости объяснять, что такое ощущение «кома в горле». Давайте сразу разбираться, что с этим ощущением делать. Но не будем путать его с нарушением глотания.
В первую очередь хорошо бы обратиться к ЛОРу . Надо сначала в это горло заглянуть и посмотреть, что там внутри. Возможно, такое ощущение связано с воспалительным процессом слизистой оболочки ротоглотки или увеличением/воспалением небных миндалин. В таком случае после лечения и затихания воспалительного процесса, ощущение кома в горле пройдет.
Ощущение кома в горле
Ощущение кома в горле также могут вызывать заболевания щитовидной железы. Когда щитовидная железа существенно увеличивается в размерах, она может сдавливать окружающие ткани и вызывать подобное ощущение. Поэтому следует провести УЗИ щитовидной железы (также было бы не плохо при проведении УЗИ посмотреть, нет ли на шее увеличенных лимфатических узлов) и обратиться на консультацию к эндокринологу.
Еще одной очень частой причиной возникновения кома в горле является ГЭРБ (гастроэзофагальная рефлюксная болезнь) . Если объяснить схематично, то норме в пищеводе есть волнообразное перистальтическое мышечное движение от рта к желудку, благодаря которому то, что мы съели не стоит на месте, а продвигается по пищеводному тракту вниз. А при ГЭРБ возникает антиперестальтическая волна — в обратном направлении, от желудка к ротоглотке. И вот такие волны и дают при своих движениях ощущение кома в горле. И это может быть первым симптомом данного заболевания, а может комбинироваться с изжогами. Для исключения или подтверждения гастроэзофагальной рефлюксной болезни проводят фиброэзофагогастродуоденоскопию (ФЭГДС) и дальнейшее лечение проводится у врача гастроэнтеролога . Также к гастроэнтерологическим причинам к ома в горле относятся грыжа пищеводного отверстия диафрагмы и другие заболевания пищевода.
Психоэмоциональные расстройства и ком в горле
Но чаще всего ком в горле вызван психоэмоциональными расстройствами. Возникает после острых или хронических стрессовых ситуаций, нерешенных проблем и затянувшихся обид. Здесь, как правило, присоединяется ощущение тревоги, беспокойства, возможны ощущения нехватки воздуха и приступы паники, нарушения сна, перепады настроения . Вот тогда ком в горле можно расценивать, как первый симптом тревожного или депрессивного состояния. В таких случаях лечение следует проводить комплексно у невропатолога и психиатра.
Но для того, чтобы быть уверенным, что ком в горле имеет исключительно психогенную природу, нужно исключить заболевание всех других органов, которые могут давать такие же ощущения. Кроме того, возможна комбинация нескольких заболеваний. Например, у нас может быть ГЭРБ и хронический фарингит вместе с тревожным расстройством, поэтому лечить надо параллельно все три заболевания.
«Вертеброгенный ком в горле»
Остеохондроз шейного отдела позвоночника не является причиной кома в горле, тем более, если ком в горле — это изолированная жалоба. При остеохондрозе возникает ощущение скованности в шейном отделе позвоночника, но никак не ком в горле. «Вертеброгенный ком в горле» возможен при развитии спондилеза — когда разрастаются огромные спондилофиты (такие костные разрастание в виде шипов), которые давят на глотку. Но это редкое явление. При значительных смещениях позвонков (спондилолистезах) может быть ощущение кома в горле , но тогда будет много других очень неприятных и болевых ощущений, которые отодвинут ощущения кома в горле на последний план.
Возможны, конечно, и более сложные процессы, такие как опухоли глотки, пищевода, или опухоли в грудной полости/средостении или абсцессы (заглоточные, паратонзиллярные, надгортанника и др.), но тогда симптомов будет больше и они будут разнообразнее, и такие заболевания требуют неотложного лечения.
Не стоит пренебрегать любыми изменениями в состоянии своего здоровья, поскольку все изменения имеют свою причину. Помните, что практически все заболевания лечатся хорошо, если их «поймать» на начальных этапах. Будьте к себе внимательны!
Как убрать ком в горле в домашних условиях. Причины комка в горле
Ком в горле может возникать по разным причинам. Иногда такое ощущение является исключительно неврологической проблемой. В других случаях ком в горле возникает из-за сужения органов дыхания и может приводить к удушью.
Самой распространённой причиной комка в горле специалисты называют заболевания органов дыхательной системы. Причём локализован воспалительный процесс может быть в ротоглотке, носоглотке и даже в пищеводе.
Психогенные причины

К группе психогенных причин, которые могут спровоцировать ощущение кома в горле, относят:
Перенесённые стрессы.
Эмоциональные потрясения.
Невротические состояния.
Нарушения режимных моментов с недостаточным временем для отдыха.
Механизм возникновения кома в горле на фоне неврологического расстройства легко объясняется. Во время эмоционального перенапряжения в крови увеличивается уровень адреналина и норадреналина. Эти гормоны способствуют перевозбуждению нервной системы, из-за чего повышается тонус мышц. Головной мозг посылает им сигналы в хаотическом порядке. Это может приводить к спазму в области глотки, поэтому человек чувствует комок в горле.
Патологические причины
Список патологических причин весьма обширен. Чаще всего люди долгое время страдают от ощущения кома в горле, так как самостоятельно такие заболевания не проходят. Для их систематизации, специалисты выделяют пять больших групп.
Ком в горле, но глотать не больно. Воспалительные болезни ЛОР-органов
При остром воспалении симптом не имеет четкой локализации, возникает внезапно, быстро достигает значительной степени выраженности, исчезает через несколько дней. Хронические воспалительные процессы сопровождаются периодическим умеренным или незначительным ощущением инородного тела, больше беспокоящим в периоды обострений.
- Тонзиллит . Миндалины гиперемированные, увеличены в объеме, покрыты поверхностными пленками, множественными мелкими желтовато-белыми очагами или рыхлым налетом. Наблюдаются боль в горле, общая гипертермия, симптомы интоксикации. При хроническом тонзиллите в фазе обострения все симптомы сглажены.
- Фарингит . При осмотре глотки выявляются отек, разлитая гиперемия. Общее состояние остается нормальным, иногда отмечаются слабость, повышение температуры до субфебрильных цифр. При хронической форме преимущественно поражается один отдел глотки: ротоглотка, носоглотка или гортаноглотка.
- Ларингит . Пациент предъявляет жалобы на царапанье, першение , щекотание в нижних отделах горла. Голос становится осиплым, в тяжелых случаях больной говорит шепотом. Наблюдается приступообразный сухой кашель. Симптом более заметен при флегмонозной и инфильтративной формах. Хронический ларингит проявляется покашливанием, потребностью периодически прочищать горло, быстрой утомляемостью голоса .
Гортанная ангина сопровождается теми же симптомами, что и острый ларингит, но характеризуется более тяжелым течением. Боли в горле настолько сильные, что пациенты отказываются от еды, принимают вынужденное положение.
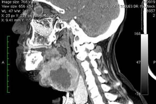
Давящая боль в грудной клетке и ком в горле. Ощущения кома в горле: диагностика
При возникновении неприятных ощущений в горле рекомендуется в первую очередь обратиться за консультацией к терапевту. После осмотра пациента и изучения сопутствующих симптомов врач выпишет направление к узкопрофильному специалисту, в компетенции которого лечения кома в горле. В большинстве случае это может быть отоларинголог, эндокринолог, онколог, вертебролог, гастроэнтеролог и психотерапевт.
Из дополнительных исследований для выявления причин кома в горле целесообразно назначение лабораторных методов (общий анализ крови и биохимия), УЗИ щитовидки, МРТ или рентгена шейного отдела позвоночника. В таком случае решение принимает терапевт.
- Отоларинголог. Часто ощущения кома в горле может быть вызвано воспалительными процессами в горле и носоглотке. Иногда симптом может свидетельствовать о более серьезном заболевании, таком как опухоль.
- Эндокринолог. Ком в горле и тяжело дышать – жалобы пациентов с эндокринологическими нарушениями. В этом случае речь идет о патологических изменениях в щитовидной железе с разрастанием ее структуры. Для подтверждения диагноза пациенту рекомендуется пройти ультразвуковое исследование щитовидной железы.
- Онколог. Причиной кома в горле при глотании в редких случаях могут быть новообразования гортани, глотки и пищевода. Для постановки серьезного диагноза пациенту будет назначено ряд исследований.
- Вертебролог. Если ком в горле и грудной клетке сопровождается головной болью и болью в спине, следует посетить именно этого специалиста. Если у вас остеохондроз шейного отдела позвоночника и при этом беспокоит ком в горле, визит к вертебрологу должен быть в числе первых.
- Гастроэнтеролог. Причиной кома в горле после еды может быть гастроэзофагеальный рефлюкс, грыжа или раздражение пищевода. В этом случае необходимы будут дополнительные исследования.
- Психотерапевт. Посетить его стоит, если ком воздуха в горле возникает при стрессовых ситуациях и исчезает после приема седативных препаратов.